В Турции начался бум на пластические операции по укорачиванию ног. Женщины обращаются к хирургам, чтобы те уменьшили им рост, пишет ТГ-канал «Топор +». Турчанки надеются, что это позволит им найти свою половинку.
Женщины стали чаще укорачивать ноги путем операций: зачем они это делают?

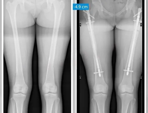
Чтобы добиться нужного результата, врачи спиливают часть бедренной или большеберцовой кости. Это позволяет уменьшить рост на 3–5,5 см. Так, к примеру, одна из обратившихся пациенток добилась того, что её рост снизился со 172 до 167 см.

Так, в одной из стамбульских клиник в течение двух лет хирурги провели десять подобных операций. При этом желающих стать более привлекательными в глазах мужчин пациенток не смущают предупреждения медиков о последствиях подобных вмешательств.

Специалисты отмечают, что данные процедуры чреваты осложнениями, такими как хронические боли. Также велик риск возникновения проблем с опорно-двигательным аппаратом. Ну а кроме этого, после такой операции требуется длительная реабилитация. При этом в рейтинге популярности процедур среди турчанок по-прежнему лидируют липосакция, ринопластика и коррекция груди.


В то время как турчанки укорачивают ноги в стремлении понравится мужчинам, европейки, напротив, идут на беспрецедентные меры, чтобы их удлинить. Так, немецкая модель ради мужа на протяжении восьми лет делала операции, чтобы «вырасти» на 14 см. За всё это время она потратила в российской валюте 15 миллионов рублей, но её брак это не спасло. О том, как она живёт теперь мы рассказывали ранее.

